구강건강 정밀검사 및 진단
- - 개인별 특성을 파악하는 정밀 구강 검사
- - 치아, 잇몸 검사
- - 구강 세균 검사
- - 시린 이 검사
- - 치태·치석 검사
통합진료
예방치료Preventive
정기적인 구강검진, 평생 건강의 시작입니다.
구미미르치과병원 예방 진료로
꼼꼼한 구강 관리를 시작하세요!
TOC4U 프로그램을 통해 관리/코칭 프로그램 진행하여 좋지 않았던
입속 관리법이 꾸준히 개선되고 관리한 결과 세균이 감소한 것을 직접 눈으로 확인하실 수 있습니다.

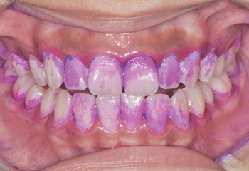
TOC4U 관리 전

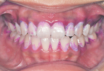
TOC4U 관리 후
세균 착색 감소 과정
구강질환은 입속이 청결하게 관리되지 않아 치아와 잇몸에 세균이 쌓여 발생하는 것으로,
충치나 잇몸 질환이 심해지면 염증이 퍼져 잇몸이 녹아내려 결국 발치하게 됩니다.
한 번 무너진 잇몸은 다시 회복하기 힘들기 때문에 평소 예방과 관리가 중요합니다.
TOC 구강검진은 첨단 장비를 활용하여
충치 · 잇몸 질환 · 치주병 · 입안 손상 · 입안 속 병소들을 초기에 발견하기 위한 정밀 검진입니다.
TOC 구강검진은 사전에 질환을 예방하고, 조기에 최소한의 진료로 연계하여
적극적으로 입속 건강을 유지할 수 있게 도와드립니다.
미르 예방치료
프로그램
구강건강 정밀검사 및 진단
심하게 마모되거나 갈라진 치아
심한 충격이 가해져 깨지거나 흔들리는 치아
치아가 부러진 경우