첫 내원(초진)
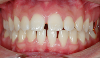
치아와 안모에 대한 임상검사를 합니다.Orthodontics
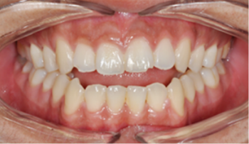
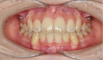
치아 교정은 바로 '교합'을 바로잡는 과정입니다.
단순히 삐뚤어진 치아를 가지런히 하거나 튀어나온 입을 넣는 것이 아니라,
위아래 턱뼈의 관계를 정상화하고 바르게 씹고 발음할 수 있도록 도와줍니다.
그 결과, 기능을 회복하고 아름다운 얼굴 모양을 완성할 수 있습니다.
결국, 교정 치료란 치아 기능을 회복해 균형 잡힌 아름다움을 만드는 일입니다.
치아교정은 연령보다는 구강 상태에 따라 달라지는 치료이므로 정기적인 검진을 통해
효과적인 시기에 치료가 이루어져야 합니다.
성장기 아동의 교정 치료
영구 치열의 교정 치료
수술을 위한 교정 치료
각 분과별 협진으로 치료하는 것이 효과적입니다.
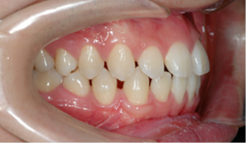
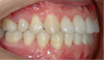
음식을 씹는 기능이 좋아집니다.
칫솔질이 잘 되어 충치나 잇몸 질환이 예방되어 구강 위생이 좋아집니다.
턱뼈의 성장을 조절하여, 주걱턱, 무턱, 비대칭 턱을 해소할 수 있습니다.
얼굴 모양에 좋지 않은 나쁜 습관을 교정해 줌으로써 입 모양이 좋아집니다.
근육 기능이 정상화되면 이갈이, 이 악물기가 줄고 치아 마모도 감소합니다.
교정 치료 진료 과정
평생 함께할 자신 있는 미소,
첫 내원(초진)
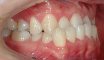
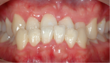
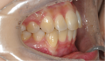
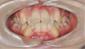
치아와 안모에 대한 임상검사를 합니다.
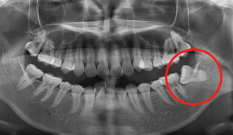
자료 채득
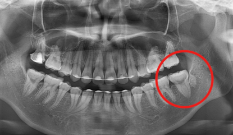
X-ray, 구강 내ㆍ외 카메라 사진, 치아 모형, 턱관절 및 치주 상태,
자료 분석
채득한 자료를 분석하여 환자에게 가장 적절한 치료 계획을 수립
진단 통보
자료에서 얻어진 결과를 바탕으로 환자가 가지고 있는 문제,
치료
환자가 치료 계획에 동의하게 되면 수차례에 걸쳐 교정 장치가 부착되며
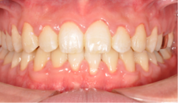
치료(유지)
교정 치료를 통해 개선된 치열 상태가 오랫동안 유지되도록